Public health campaigns are more effective when they include real stories. Facts matter, but personal experience connects in a way data alone cannot. People pay attention when someone shares what they have lived through. They feel the message more deeply. They understand the problem faster. This is why individuals with personal health challenges often become […]
Mounjaro Side Effects Explained Without the Medical Jargon
What Happens When Weight Loss Medication Meets Real Life Tirzepatide injections promise impressive results for weight management and diabetes control. Learning about mounjaro side effects before starting treatment prevents unwelcome surprises down the road. The medication works as a glucose dependent insulinotropic polypeptide receptor agonist. Clinical trials showed remarkable weight loss outcomes. But lab results […]
Are All-on-4 Worth the Money as a Long-Term Investment?
If you’re facing extensive tooth loss or decay, full-arch dental restoration is a critical decision. Among the options, All-on-4 dental implants stand out as a sophisticated solution, anchoring a full arch of prosthetic teeth onto four titanium posts. The upfront cost, however, prompts a vital question: Does it constitute a wise long-term investment? The answer […]
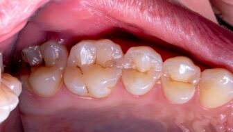
Understanding Gum Disease: Prevention, Treatment, and the Role of Regular Dental Care
Your oral health is a critical component of your overall well-being, yet it is often overlooked until a problem arises. One of the most common and serious oral health issues is gum disease, also known as periodontal disease. This condition affects millions of adults and can range from simple gum inflammation to a severe infection […]
Best Mental Health Counseling Services Revealed
Mental health counseling services provide valuable treatment, guidance, and support for people from all walks of life. As studies show that mental health disorders are becoming more prevalent, therapy and counseling services play a critical role in helping people cope, heal, and grow. If you’re searching for mental health counseling services either in-person or online, […]





